Baytown Texas Dentistry
Zachary J. Holder, DDS

Smile Gallery

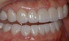
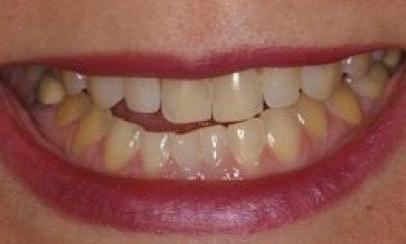
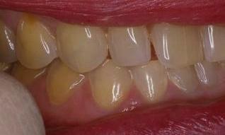
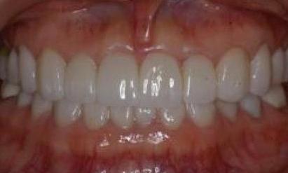
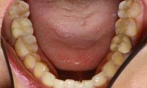
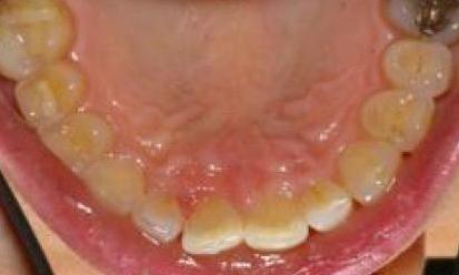
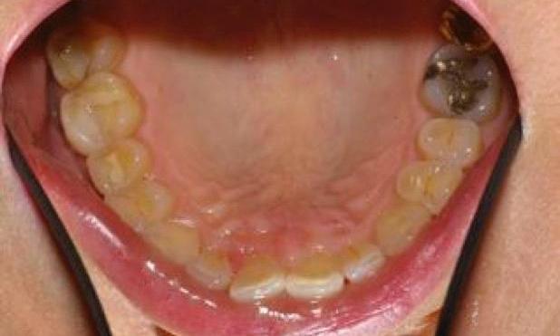
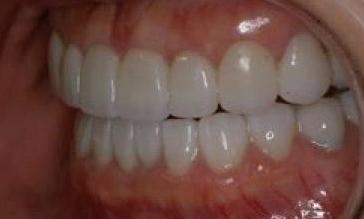
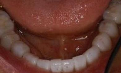
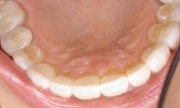
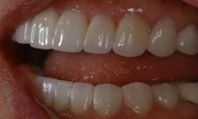
We see all sorts of dental problems, and we're always pleased to hear how happy our patients are with the difference in their smile when treatment is finished. It can be hard to picture the way dental work will affect your smile, so we're sharing some before-and-after pictures from actual patients we've worked on. Please take a look and envision your dream smile. Then give us a call, and we'll get started! 

 

Improve your smile today – call to schedule a consultation!
Gallery Categories
If you have difficulty using our website, please email us or call us at (281) 427-5305
View the ADA Accessibility Statement